Gallery

Explore our gallery of before and after photos to see how our Smarter Orthodontics has transformed smiles. Each photo tells a story of personalized treatment and life-changing results.


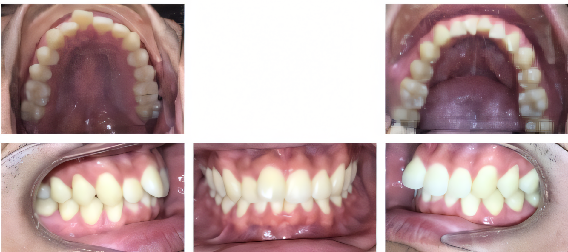
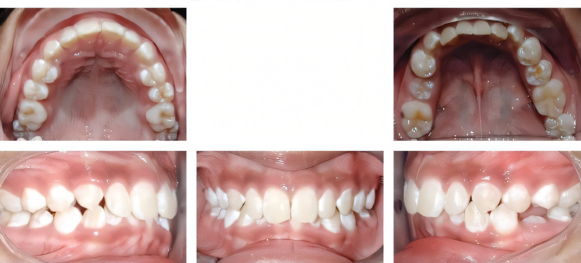
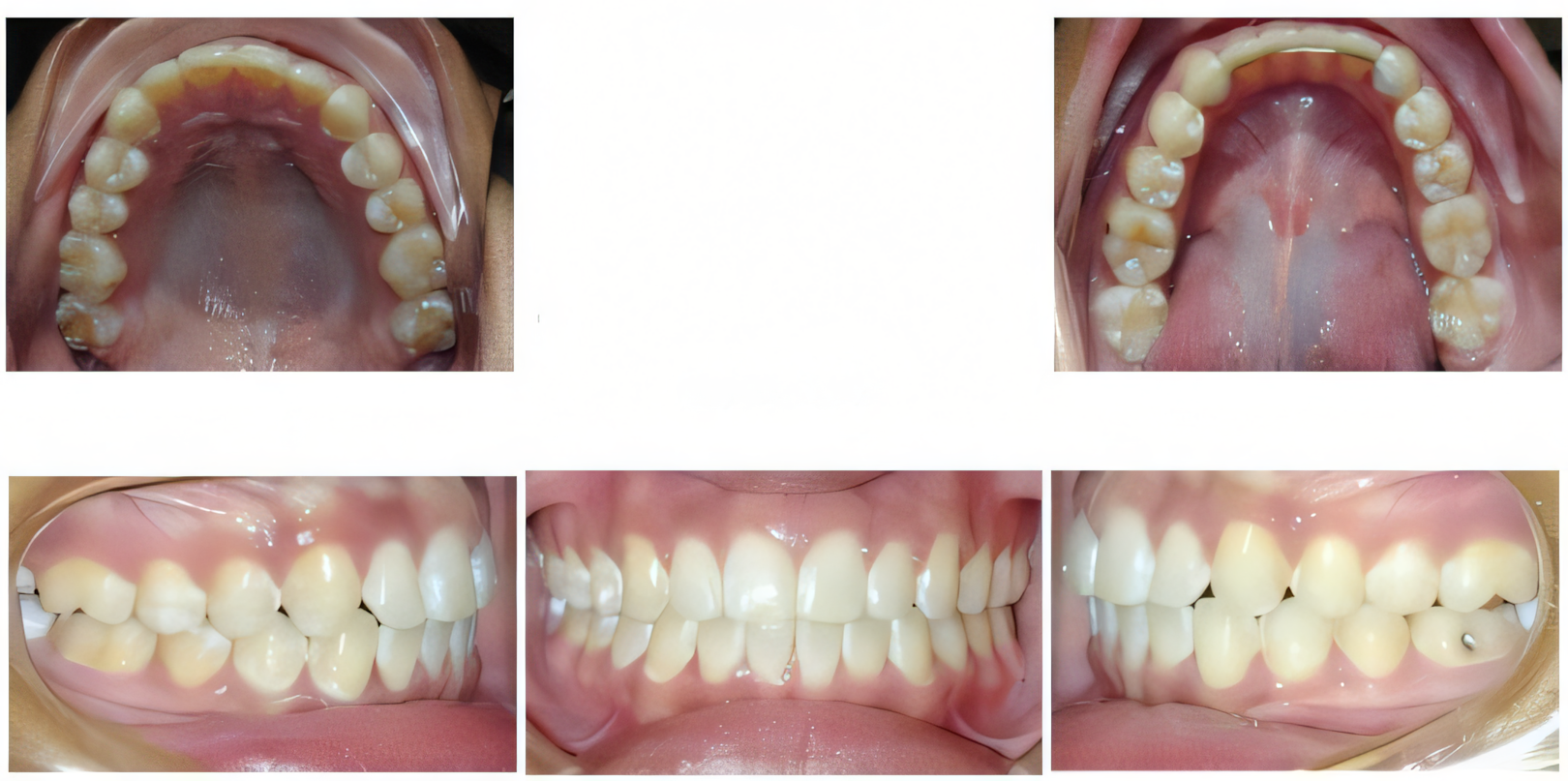
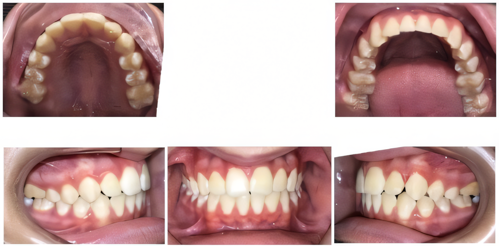
Phase I Treatment

Before

After


14 months: Palate Expander and Limited Upper Braces to widen the upper jaw, align the teeth and close the open bites

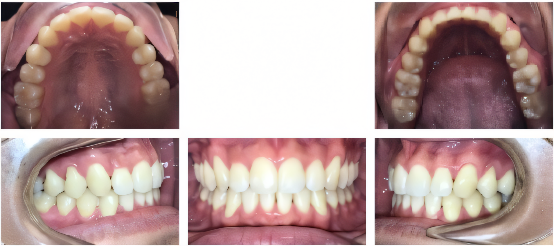
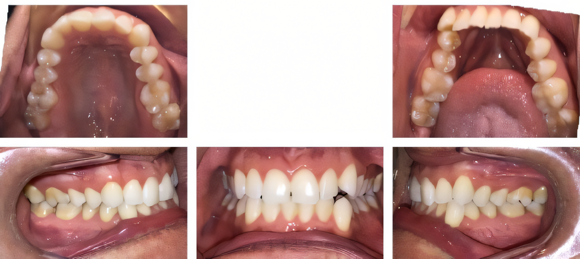
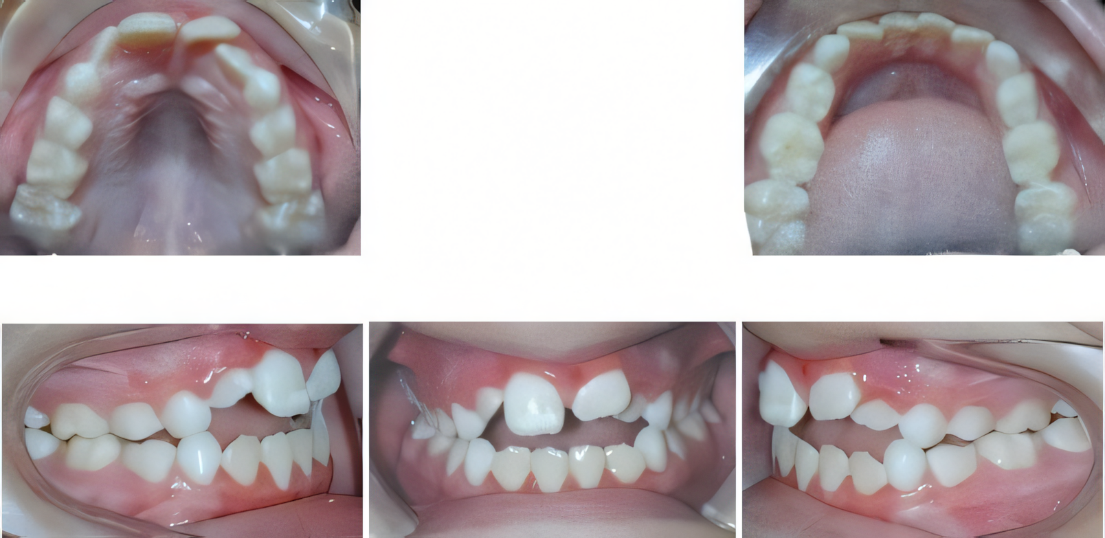
Comprehensive Treatment

Before

After


22 months: Upper and Lower Braces and rubber bands for bite correction


Invisalign for Teens

Before

After


15 months: Upper and Lower Invisalign Aligners with rubber bands for bite correction

Invisalign for Adults

Before

After


11 months: Upper and Lower Invisalign Aligners to align the teeth and improve the bite


Invisalign Touch Up

Before

After


4 months: Upper and Lower Invisalign Aligners to align the teeth and correct the crossbite